Always remember that you’ve got lots of choices when it comes to dental care – you just know where to look. In this case, you’re better off looking in Tijuana, Mexico, where the dental procedures are top-notch but marked at reasonable prices by professionals that you can trust. This will be your ultimate alternative to the exorbitant dental services in most of the states in the US, where the prices just keep going up even when they shouldn’t because your dental health is important.
Dental implants in Tijuana certainly offer the best alternative for tooth replacement. This is because the implants act like a natural tooth root in that they stimulate the bone, and prevent bone loss. Unlike removable dentures, implants stay in place, and that brings many advantages over removable dentures, here are some of them…
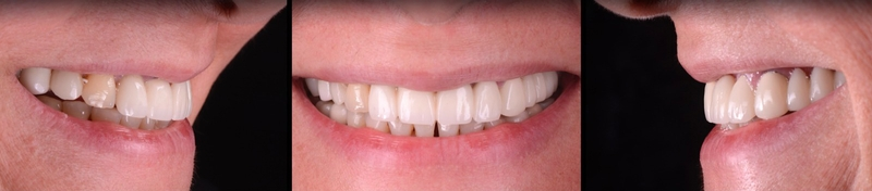
Improve appearance:
Dental implants have the look and feel of your own teeth, being almost identical to your original teeth.

Improve speech:
Dental implants will stay strong and in place, leaving no worries of accidental denture slip and giving you the confidence to speak fluently.
Better comfort:
Unlike removable dentures, implants stay in your mouth and become part of you, reducing discomfort.
Easier eating:
Dental implants function like your regular teeth and it’s easier to chew and eat with them, and, like many other cosmetic dentistry-related procedures, it can help improve your self-esteem and confidence by giving you a healthy and good-looking smile through the application of implants.

This modern technology is now available with dentists in Mexico!
In the USA, dental implants are very expensive and will average nearly $4000 per tooth replacement.
However, with this technology available in Mexico, and with Mexican dentists receiving superior training in dental implant surgery, the prices for dental implants in Mexico are much more affordable. The approximate cost of a dental implant, with abutment and crown is only $1300 in Mexico. That is just 1/3 the price for the same treatment with a US dentist.
What are the disadvantages of dental Implants?
The biggest disadvantage of dental implant treatment is the time needed to finish treatment. This is the best treatment, but you will have to have patience and be willing to come to Mexico for two or three trips to get the treatment finished. If time is an issue, the alternative is fixed bridges or partial dentures.
Are dental implants for everyone?
Unfortunately, not everyone is a candidate. If you have too much bone loss, grafting may not be feasible. also, there can be health issues that would hinder the healing process needed for implants, such as uncontrolled diabetes. Also, if you are a heavy smoker, nicotine can cause your implants to fail during the healing process, and therefore you will have to first get your smoking habit under control, cutting way back to just a few cigarettes a day. The doctor will advise you when you come in for evaluation.

Why we don’t do “Teeth in a day” implants.
There are a lot of advertisements for “teeth in a day”, also known as immediate load implants. With this type of implant, the implant is placed, and on the same day the abutment is put on, and impressions made for the new crowns. To the patient who has little patience, and wants his new teeth NOW, this sounds great.
However, our doctors will not do this type of implant. The reason is, these immediate load implants will end up failing in a few years, and the doctors cannot give them a lifetime guarantee. The way implants work, the bone needs time to bond to the titanium. When pressure is repeatedly put on the implant, like it is when it is activated, the bone cannot bond. Also, with the immediate load implants, the thread is very coarse and aggressive, like the threads of a “lag bolt”, compared to a fine thread.
When you chew on that type of implant, because of because the thread is coarser, it results tiny micro-fractures in the bone. Because of so many micro-fractures, the bone cannot regenerate fast enough, and bone loss results. After 5 to 8 years, they implants will get loose and fall out. But, with the type of implants we use, delayed load implants, the dentist can give a lifetime guarantee. The only drawback is it requires 3 to 4 months of healing time before the implant can be activated, which will require a second trip to Tijuana.
What are some of the options for dental implant treatments?
Bridges: Dental bridges are fixed dental restorations that are used to replace several or a simple tooth by applying a permanent artificial tooth to adjacent teeth or other dental implants. Bridges are made of two or more crowns for the teeth.
They exist three main types of bridges:
- Traditional: These are the most common ones, they are made of porcelain or ceramics, this bridges are composed of a crown for the tooth on either side of the missing tooth.
- Cantilever: This type of bridges are only used when there are adjacent teeth on only one side of the missing teeth.
- Maryland Bonded: These can be either made of porcelain, ceramic or a plastic. The advantages that dental bridges bring to your teeth are: restore your smile and the ability to properly chew and speak, maintain the proper shape of your face and distribute the forces of your bite correctly. They can also help to prevent remaining teeth from drifting out of position.
In New Age Tijuana Dental Clinic we have all specialties of dentistry providing adequate and comprehensive solutions to all family members, like our All on Four and All on Six Implants.
